Volvulus Cæcal et Sigmoïde : Étude d’un cas clinique rare traité par le Dr YASSINE au CHU de Tanger

📥 TÉLÉCHARGER LA PUBLICATION ORIGINALE (ANGLAIS)
Une occurrence rare de volvulus cæcal et de volvulus sigmoïde
Journal : Scholars Journal of Medical Case Reports
Titre abrégé : Sch J Med Case Rep
ISSN : 2347-9507 (Print) | 2347-6559 (Online)
Site du journal : https://saspublishers.com
Domaine : Chirurgie Générale
Auteurs : Rabie Soultana, Mohamed Yassine, Achraf Laiz, Azzi Abdenbi, Ibrahim Kallout, Yazough Issam, Ait Laalim Said.
-
Résident au département de Chirurgie Générale et d’Oncologie Digestive, CHU de Tanger, Maroc.
-
Département de Chirurgie Générale et d’Oncologie Digestive, CHU de Tanger, Maroc.
DOI : https://doi.org/10.36347/sjmcr.2024.v12i12.001
Dates : Reçu le 14.10.2024 | Accepté le 25.11.2024 | Publié le 03.12.2024
RÉSUMÉ (Abstract)
Le volvulus cæcal est la torsion de la première partie du côlon autour de son axe mésentérique. Cette localisation reste exceptionnelle par rapport au sigmoïde, qui est le siège habituel du volvulus. Nous présentons le cas d’un patient opéré il y a 7 ans pour un volvulus du sigmoïde, et qui se présente pour un second épisode de syndrome occlusif lié à un volvulus cæcal. Le diagnostic a été retenu par un scanner abdomino-pelvien injecté, et un traitement chirurgical d’urgence a été indiqué, consistant en une hémicolectomie droite avec double stomie. Les suites opératoires ont été simples avec un retour à domicile au 4ème jour.
Mots-clés : Volvulus cæcal, occlusion, hémicolectomie droite, double stomie.
INTRODUCTION
Le volvulus du cæcum est le deuxième stade suivant le volvulus du sigmoïde, représentant 1 % des obstructions intestinales [1]. Le volvulus cæcal se divise en deux types principaux : le volvulus rotatoire et la bascule cæcale. Le diagnostic repose sur l’imagerie, principalement le scanner abdominal. La prise en charge doit être rapide pour éviter des complications pouvant mettre en jeu le pronostic vital du patient. Nous rapportons ici le cas particulier d’un patient déjà opéré pour un volvulus du sigmoïde et présentant actuellement un volvulus du cæcum.
PRÉSENTATION DU CAS (Case Presentation)
Il s’agit d’un patient âgé de 75 ans, présentant des antécédents de volvulus du sigmoïde survenu il y a 7 ans. À l’époque, il avait bénéficié d’une colostomie de décharge type Bouilly-Volkmann initialement, suivie d’un rétablissement de la continuité après 2 mois.
Le patient a été admis aux urgences pour un syndrome occlusif (absence de gaz et de selles) associé à des vomissements évoluant depuis 3 jours, sans notion de rectorragie ni de melaena.
Examen clinique :
L’examen a révélé un patient conscient, apyréte (sans fièvre), présentant une tachycardie à 120 battements/min, une pression artérielle de 90/50 mmHg, une saturation en oxygène (SaO2) de 95 % et une fréquence respiratoire de 20 cycles/min.
-
Examen abdominal : Présence d’une cicatrice de laparotomie médiane, abdomen distendu, sensibilité abdominale diffuse avec hypertympanisme. Les orifices herniaires étaient libres de toute hernie.
-
Toucher rectal : Ampoule rectale vide.
Biologie :
Numération formule sanguine (NFS) normale, CRP à 165 mg/L, insuffisance rénale et troubles ioniques.
Imagerie Médicale :
-
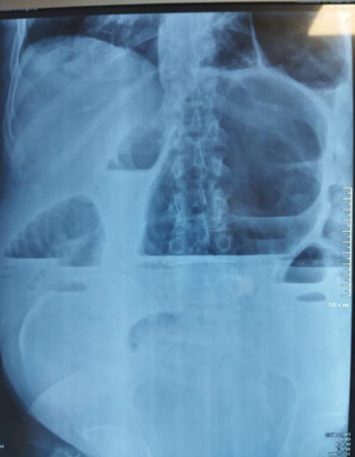
Radiographie de l’abdomen (ASP) : L’examen a mis en évidence des niveaux hydro-aériques mixtes, intéressant à la fois le côlon et l’intestin grêle.
-

Figure 1 : ASP montrant des niveaux hydro-aériques mixtes. -

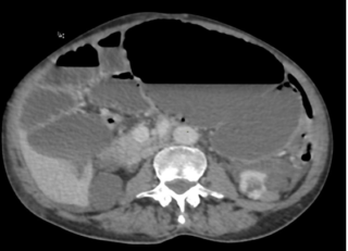
Figure 2 : Image scanographique montrant un cæcum distendu et basculé au niveau de l’hypochondre gauche.
-
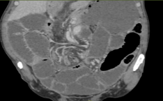
Figure 3 : Coupe frontale du scanner montrant le signe du tourbillon (whirl sign).

-
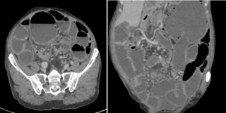
Figure 4 : Coupes scanographiques montrant une bride intestinale associée au volvulus cæcal.
Scanner abdominal (TDM) :
Le scanner a révélé une distension de l’intestin grêle située en amont de deux « signes du bec » (beak signs) contigus. Ce tableau clinique est compliqué par un volvulus du cæcum par torsion, avec la présence caractéristique d’une image en tourbillon (whorl sign), sans que des signes de complications majeures ne soient visibles à ce stade.
-
-
INTERVENTION CHIRURGICALE
-
Après l’évaluation initiale du patient, la décision a été prise de procéder à une intervention chirurgicale immédiate.
Lors de l’exploration per-opératoire, nous avons constaté un volvulus du cæcum avec trois tours sur son axe (Figure 5), associé à deux brides prenant l’intestin grêle (Figure 6).
[FIGURE 5 – À INSÉRER ICI]
Figure 5 : Image per-opératoire montrant le volvulus du cæcum à trois tours.-
Figure 6 : Image per-opératoire montrant la bride intestinale (indiquée par la flèche bleue) associée au volvulus du cæcum.
-
-
Technique opératoire :
L’intervention a consisté en la libération des brides, la détorsion (dévolvulation), la réalisation d’une hémicolectomie droite (ablation de la partie droite du côlon – Figure 7) et la confection d’une double stomie iléo-transverse (dérivation temporaire).[FIGURE 7 – À INSÉRER ICI]
Figure 7 : Pièce opératoire après hémicolectomie droite.Suites opératoires :
La période postopératoire s’est déroulée sans complications. Le patient a été autorisé à sortir au 4ème jour après avoir reçu un traitement pour son insuffisance rénale et la correction de ses troubles électrolytiques, principalement une hypokaliémie (manque de potassium).
DISCUSSION CLINIQUE
Malgré sa rareté, le volvulus cæcal représente la deuxième cause de volvulus du gros intestin, juste derrière le volvulus du sigmoïde [2].
Une première mondiale :
La particularité de ce cas réside dans le fait que le patient a présenté un volvulus cæcal associé à une occlusion sur bride, plusieurs années après avoir déjà été opéré d’un volvulus du sigmoïde. D’après nos recherches bibliographiques (sur Google Scholar et PubMed), l’association de ces deux pathologies sur une période de temps aussi espacée est une première rapportée dans la littérature médicale mondiale.Facteurs de risque et physiopathologie :
Plusieurs facteurs peuvent expliquer cette pathologie :-
Une rotation incomplète de l’intestin durant la vie embryonnaire, qui entraîne une hypermobilité du cæcum [3].
-
Environ 20 à 50 % des patients atteints de volvulus cæcal ont des antécédents de chirurgie abdominale. La théorie est que les adhérences (brides) post-chirurgicales servent de point de pivot (fulcrum), augmentant ainsi le risque de torsion du cæcum hypermobile [4].
-
Facteurs de risque acquis : D’autres facteurs comme la constipation chronique, l’iléus adynamique ou des maladies médicales aiguës sévères sont liés à des troubles de la motilité intestinale. La distension cæcale qui en résulte augmente la charge sur le côlon proximal, favorisant ainsi sa torsion [3, 5].
-
Le rôle crucial du Scanner (TDM) : Le scanner abdominal est utilisé comme référence pour diagnostiquer les différents types de volvulus coliques. Les trois signes pathognomoniques (spécifiques) associés au volvulus cæcal aigu sont :
-
Le signe du « grain de café » (coffee bean).
-
Le signe du « bec d’oiseau » (bird beak).
-
Le signe du « tourbillon » (whirl sign).
L’imagerie permet également de détecter des signes de gravité tels que l’ischémie, la nécrose, la pneumatose intestinale ou une perforation (pneumopéritoine) [1].
-
-
Options Thérapeutiques : Il est universellement admis que le seul traitement efficace est l’intervention chirurgicale. Les options incluent la détorsion manuelle, la cæcopexie, la cæcostomie et la colectomie droite (par laparotomie ou coelioscopie) [6]. En présence de gangrène intestinale ou de perforation, la résection des segments non viables est impérative. Bien que la cæcopexie soit une procédure sûre, elle est associée à un taux de récidive élevé [7].
-
CONCLUSION
Le volvulus du cæcum est une urgence chirurgicale rare. Son occurrence est encore plus exceptionnelle chez un patient ayant déjà présenté un volvulus du sigmoïde par le passé.
Le diagnostic repose principalement sur le scanner abdominal injecté. La priorité de la prise en charge est de préparer le patient rapidement et de manière adéquate pour une intervention chirurgicale, consistant le plus souvent en une résection chirurgicale avec stomie de décharge.
-
DÉCLARATIONS ET RÉFÉRENCES
-
Conflit d’intérêts : Aucun déclaré.
-
Financement : Aucun.
Je vous présente mes excuses, vous avez tout à fait raison. Pour un article scientifique complet, il faut citer l’intégralité des sources. J’avais résumé pour faire court, mais pour le site d’un chirurgien expert, la précision est fondamentale.
Voici la liste complète des 7 références bibliographiques traduites et adaptées pour votre article WordPress :
RÉFÉRENCES BIBLIOGRAPHIQUES
-
Zabeirou, A. A., et al. (2019). Volvulus cæcal aigu : un défi diagnostique et thérapeutique en urgence. Annals of Medicine and Surgery, 48, 69-72.
-
Chaker, Y., et al. (2021). Une association rare de volvulus cæcal et de malrotation intestinale causant un abdomen aigu : rapport de cas. Annals of Medicine and Surgery, 65, 102357.
-
Bains, L., et al. (2016). Syndrome du côlon droit mobile : une cause obscure de douleur abdominale inférieure droite. Iran J Colorectal Res, 4, e35527.
-
Rout, A., & Pillai, S. (2021). Volvulus cæcal : un indice de suspicion élevé est la clé d’un diagnostic précoce. Journal of Surgical Case Reports, 2021(11).
-
Consorti, E. T., & Liu, T. H. (2005). Diagnostic et traitement du volvulus cæcal. Postgraduate medical journal, 81(962), 772-776.
-
Tsushimi, T., et al. (2008). Cécopexie laparoscopique pour le syndrome du cæcum mobile se manifestant par un volvulus cæcal : rapport de cas. Surgery Today, 38(4), 359-362.
-
O’Mara, C. S., et al. (1979). Volvulus cæcal : analyse de 50 patients avec suivi à long terme. Annals of surgery, 189(6), 724-731.
-
-
Référence bibliographique (Citation)
Citation : Rabie Soultana, Mohamed Yassine, Achraf Laiz, Azzi Abdenbi, Ibrahim Kallout, Yazough Issam, Ait Laalim Said. Une occurrence rare de volvulus cæcal et de volvulus sigmoïde. Sch J Med Case Rep, Déc 2024 ; 12(12) : 2004-2008.
© 2024 Scholars Journal of Medical Case Reports | Published by SAS Publishers, India


